Close
✕
About
Location
Insurance
Services
Follow Us:
(705) 996-7035
Call
Book now
MENU
☰
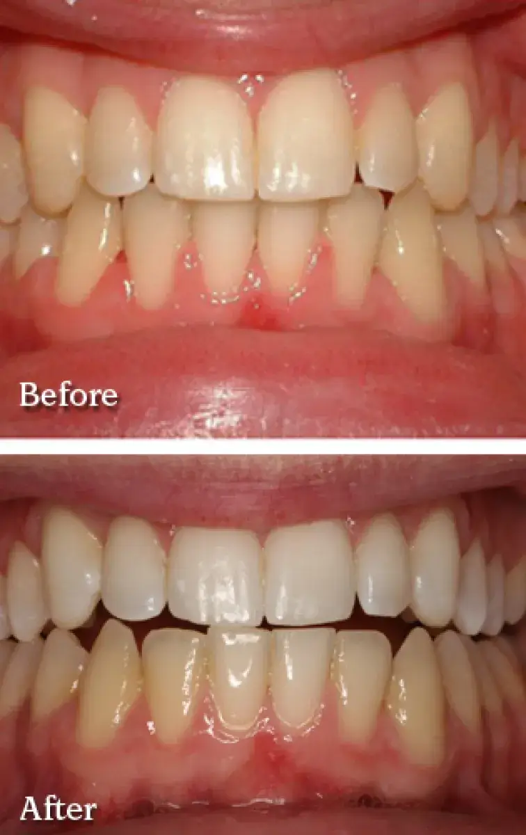
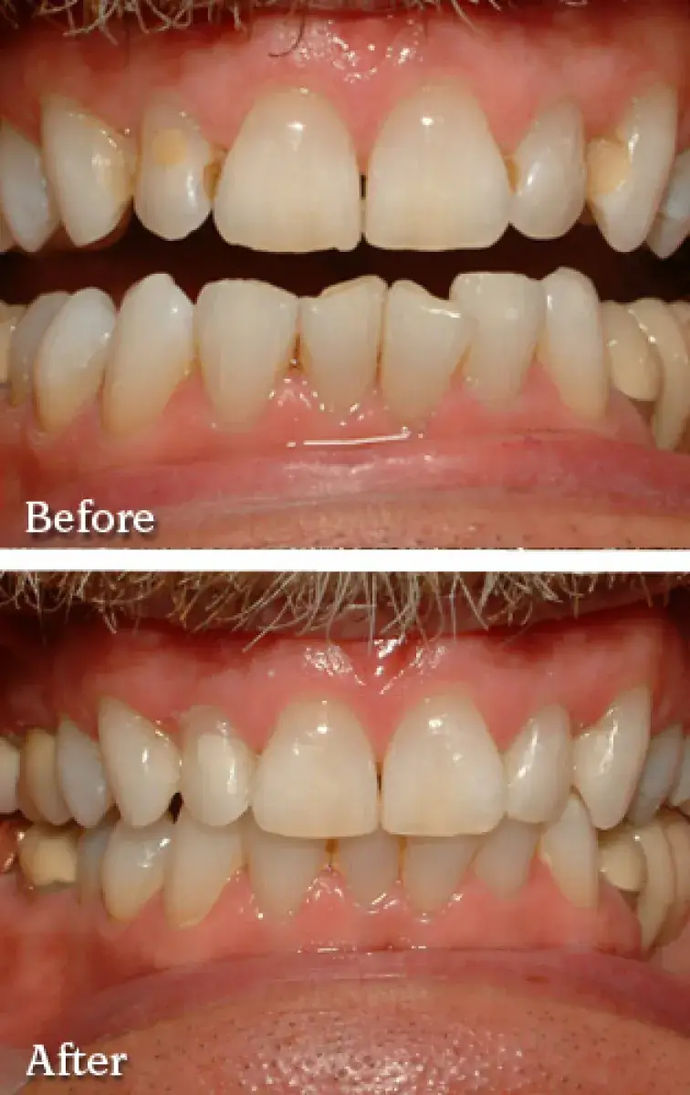
Smile Gallery
Teeth whitening
Crowns & Bridges
No items found.
Connect with Us
We’d love to make your next dental visit a great one! Call
(705) 996-7035
or schedule online to book your appointment—we’ll be in touch soon to confirm.
Book Now
Location